Micro-CT Portfolio
Visualize more than bone structure with ease
Viscover provides the broadest portfolio of imaging agentstailored for your pre-clinical micro-CT studies.
ExiTron contrast agents have been specifically developed to provide micro-CT with long sought-after soft-tissue contrast. Novel nanomaterials help extend the application of any micro- CT far beyond mere bone scans.
A unique portfolio to meet the demands of CT
Our innovative ExiTron agents enable targeted high resolution imaging of tumors and organs with ease.
- Exceptional high-resolution CT angiography
 - Long-term organ-specific (liver/spleen) imaging
 - Monitoring of cardiovascular pathologies
 - Tumor vascularization and angiogenesis studies
 - Imaging of brown adipose tissue
 - PET/CT imaging studies with enhanced soft-tissue CT contrast
 - Therapeutic efficacy monitoring
 
Discover how you can advance your micro-CT research
This illustrated guide of ExiTron contrast agents assists you in identifying the optimal contrast agent for your particular application.
Read further to reveal how Viscover ExiTron products can progress your micro-CT research.

TAR
EXT
ARD
LIV
AMC
BF
MYO
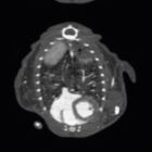
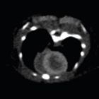
ExiTron™ MyoC 8000 
 Myocardial CT agent
ExiTronâ„¢ BAT
 Brown fat CT agent
ExiTronâ„¢ ultra 18000
 Max contrast CT  agent
ExiTron™ nano 6000
 Liver imaging CT agent
ExiTronâ„¢ P
 CT angiography agent for renal excretion
ExiTron™ nano 12000
 CT angiography agent
ExiTronâ„¢ V
 Extracellular CT agents
ExiTronâ„¢ U
 Extracellular CT agents
Customized CT agents
  Viscover´s featured agent
  Viscover´s alternative agent
TAR Targeted
 EXT Extravascular
 ARD Angiography: refined detail
 LIV Liver
AMC Angiography: max contrast
 BF Brown fat
 MYO Myocardium
 






